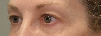
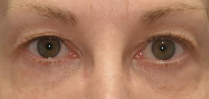
- Patient #: 5220
- Gender: Female
- Procedure: Blepharoplasty
Before & After Gallery SpecialFace
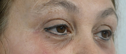
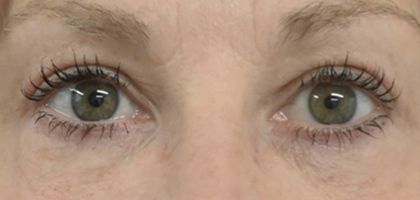
Individual results may vary. - Patient #: 5211
- Gender: Female
- Procedure: Blepharoplasty
- Patient #: 5200
- Gender: Female
- Procedure: Blepharoplasty
- Patient #: 5191
- Gender: Female
- Age:47 yo
- Procedure: Blepharoplasty
- Patient #: 2994
- Gender: Male
- Ethnicity: Caucasian
- Age: 51 - 60
- Procedure: Blepharoplasty
Upper and lower blepharoplasty Read More
- Patient #: 2691
- Gender: Female
- Ethnicity: Caucasian
- Age: 51 - 60
- Procedure: Blepharoplasty
Upper blepharoplasty 58 yo female Read More
- Patient #: 1784
- Gender: Female
- Age: 71 - 75
- Procedure: Blepharoplasty
- Patient #: 1290
- Gender: Male
- Ethnicity: Caucasian
- Age: 51 - 60
- Procedure: Blepharoplasty
- Patient #: 1020
- Gender: Male
- Ethnicity: Caucasian
- Age: 36 - 40
- Procedure: Mole Removal